Reversing Center
Дистанционный центр по исследованию защитного ПО.
implant_3d_software_monitor-2.png

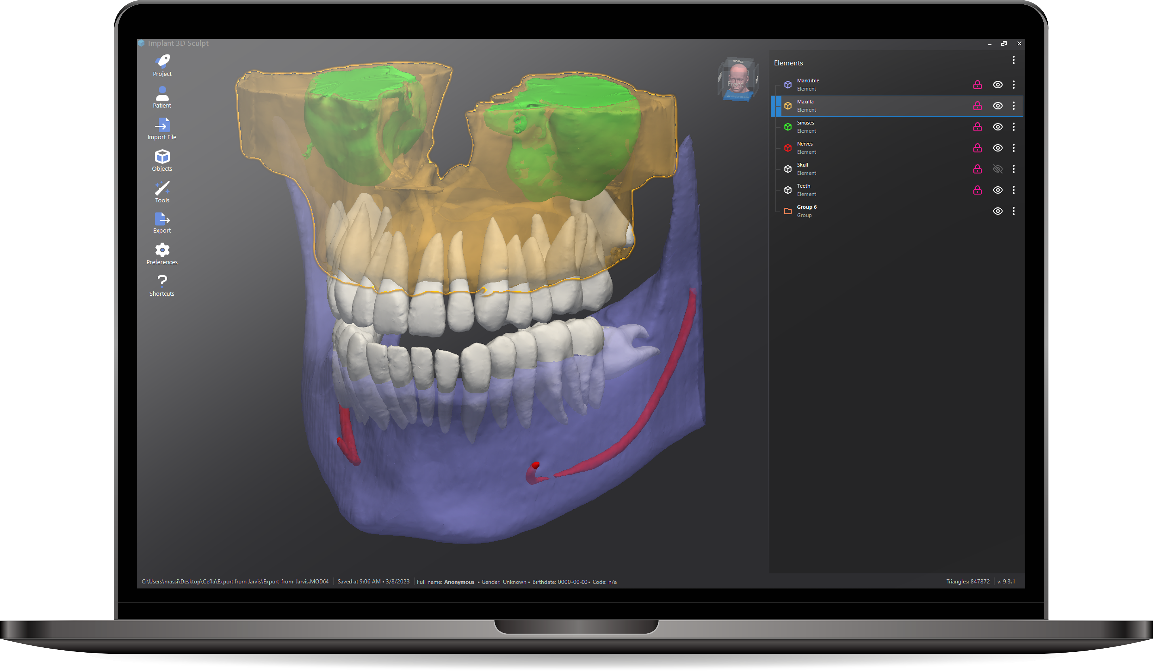
Implant 3D is the software that allows you to perform 3D implant simulation directly on your PC.
The software allows the user to simulate the position of implants on two-dimensional and three-dimensional models,
identify the mandibular canal, trace panoramic views and sections of the bone model, view the three-dimensional bone model
and calculate bone density. With Implant 3D, the Dentist can plan implant-prosthetic surgery safely, efficiently and quickly.

  • 150 implant manufactures
  • Open System
  • 20,000+ implant cases made with Implant 3D
  • CAD Integration
With a few clicks of the mouse you can obtain an extremely precise and customized surgical guide. Simply by selecting the edge of the surgical guide and the type of sleeves to use, the software generates the STL file ready to be printed with a 3D printer. Advanced features allow you to create inspection holes and add text to better identify the printed template. Implant 3D allows you to export the perforated model for analogs based on the used implant system and the size of the analogs.


Artificial Intelligence (AI) has become an increasingly utilized technology in many sectors, including dental medicine. In particular, the use of AI in dental segmentation with Implant 3D software, called Jarvis, has brought numerous advantages. Firstly, Implant 3D Jarvis software uses AI algorithms to analyze dental radiographic images and automatically segment the various parts of the mouth, such as teeth, jaw bones, sinuses and mandibular nerves. This allows for a clearer and more detailed view of dental structures and the creation of precise 3D models.
Implant 3D 9.3.0 crack.jpg
Implant 3D crack download скачать кряк ключ serial key license keygen torrent.jpg
Implant 3D.jpg

View hidden content is available for registered users!
Стоимость - € 3800
FREE download for ForumManager :thumbsup:
Author
R.Center
Views
397
First release
Last update
Rating
0.00 star(s) 0 ratings

Share this resource

Top